Skip to content Skip to sidebar Skip to footer

Tumor An Der Nebenniere

Tumore Der Nebenniere Gesundheitsportal

Tumore Der Nebenniere Gesundheitsportal

Tumor an der nebenniere. Tumore der Nebenniere Die beiden Nebennieren Glandulae suprarenales liegen jeweils am oberen Pol der beiden Nieren. Ich denke man sollte ihn im Verlauf kontrollieren und nur bei entsprechender Wachstumstendenz operativ angehen. Der häufigste bösartige Tumor der Nebenniere ist das Nebennierenrindenkarzinom adrenokortikales Karzinom.

10-20 der Menschen weisen Adenome der Nebennieren auf die heutzutage zunehmend häufig als Zufallsbefund entdeckt werden. Hyperaldosteronismus Conn-Syndrom Vermehrte Glukokortikoidbildung Morbus Cushing in Folge vermehrter Ausschüttung des Nebennierenrinden-stimulierenden-Hormons ACTH. _ Ein Tumor an der Nebenniere wird wenn überhaupt in der Regel zufällig bei einer bildgebenden Untersuchung entdeckt.

1 Bei der Mehrzahl der Nebennierentumore handelt es sich um gutartige Adenome welche sich mit den folgenden Funktionsstörungen präsentieren können. Die Häufigkeit von Krebs der Nebenniere beträgt 06-167 pro 10 6 Personen pro Jahr. In der Allgemeinbevölkerung liegt die Rate in Autopsie- und radiologischen Studien um die 24 bei älteren Menschen kann sie auf 10 ansteigen.

Der Großteil dieser Nebennierenveränderungen ist klein gutartig und NICHT krankmachend. Bei über 50-Jährigen liegt die Inzidenz eines solchen Inzidentaloms bei 3 von den über 80-Jährigen hat es bereits jeder Zehnte. Ein gutartiger Tumor der Nebenniere muss nicht in jedem Fall behandelt werden.

In den Nebennieren kleinen Hormon-produzierenden Drüsen die direkt an den Nieren anliegen aber an deren Funktion völlig unbeteiligt sind können Tumore. Man geht davon aus dass bis zu 3 aller erwachsenen gesunden Personen einen Tumor in der Nebenniere hat wobei die Häufigkeit im Laufe des Alters zunimmt. Von einem inzidentellen adrenergen Tumor spricht man immer dann wenn er rein zufällig in der Bildgebung auffiel die nicht aufgrund einer möglichen Nebennierenerkrankung durchgeführt wurde.

Manchmal können sich Tumore in den Nebennieren entwickeln. Das höchste Risiko für Nebennierentumore haben Menschen die älter als 70 Jahre sind jedoch können sich die Tumore in jedem Lebensalter entwickeln. Nebennierentumoren gehören zu den häufigsten Tumoren beim Menschen überhaupt.

Tumore der Nebenniere können zu einem Hormonüberschuss führen man spricht dann von hormonaktiven Tumoren. Sie gehören zu den Hormondrüsen des Körpers und produzieren mehrere lebenswichtige Hormone.

Erkrankungen Der Nebennieren Im Uberblick Ksw

Erkrankungen Der Nebennieren Im Uberblick Ksw

Nebennierenrindenkarzinom Bosartiger Tumor Der Nebennierenrinde Eesom Gesundheitsportal

Nebennierenrindenkarzinom Bosartiger Tumor Der Nebennierenrinde Eesom Gesundheitsportal

Tumore Der Nebenniere Formen Symptome Gesundheitsportal

Tumore Der Nebenniere Formen Symptome Gesundheitsportal

Erkrankungen Der Nebennieren Adventrum

Erkrankungen Der Nebennieren Adventrum

Erkrankungen Der Nebenniere

Erkrankungen Der Nebenniere

Inzidentalom Zufallsbefund In Der Nebenniere Ohne Beschwerden Eesom Gesundheitsportal

Inzidentalom Zufallsbefund In Der Nebenniere Ohne Beschwerden Eesom Gesundheitsportal

Nebennierenkrebs Erstmals Leitlinien Entwickelt Bdc Online

Nebennierenkrebs Erstmals Leitlinien Entwickelt Bdc Online

Medizinische Darstellungen Von Grafikwerkstatt Wuppertal Dasauge

Medizinische Darstellungen Von Grafikwerkstatt Wuppertal Dasauge

Maligne Inzidentalome Von Gutartigen Raumforderungen In Der Nebenniere Unterscheiden Medical Tribune

Maligne Inzidentalome Von Gutartigen Raumforderungen In Der Nebenniere Unterscheiden Medical Tribune

Nebenniere Tumor Abbildung Stockfotografie Alamy

Nebenniere Tumor Abbildung Stockfotografie Alamy

Nebennierentumore

Nebennierentumore

Nebennierenentfernung Adventrum

Nebennierenentfernung Adventrum

Nebennieren Kleine Drusen Mit Grosser Bedeutung Pz Pharmazeutische Zeitung

Nebennieren Kleine Drusen Mit Grosser Bedeutung Pz Pharmazeutische Zeitung

Cushing Syndrom Deximed

Cushing Syndrom Deximed

Tumore Der Nebennieren

Tumore Der Nebennieren

Urintest Verbessert Die Diagnose Von Nebennierenkrebs Universitat Wurzburg

Urintest Verbessert Die Diagnose Von Nebennierenkrebs Universitat Wurzburg

Ein Tumor Der Nebenniere Struktur Der Nieren Vektor Illustration Leinwandbilder Bilder Metastasierung Nebennieren Nieren Myloview De

Ein Tumor Der Nebenniere Struktur Der Nieren Vektor Illustration Leinwandbilder Bilder Metastasierung Nebennieren Nieren Myloview De

Nebennierenkarzinom Ursachen Symptome Behandlung Ksw

Nebennierenkarzinom Ursachen Symptome Behandlung Ksw

Uro At Rationale Abklarung Von Inzidentalomen Der Nebenniere

Uro At Rationale Abklarung Von Inzidentalomen Der Nebenniere

Die Nebennieren Kleine Drusen Mit Grosser Bedeutung

Die Nebennieren Kleine Drusen Mit Grosser Bedeutung

Bluthochdruck Und Hormone Infothek Blutdruckdaten

Bluthochdruck Und Hormone Infothek Blutdruckdaten

Nebennieren Krankheiten Wie Hormonstorungen Und Tumoren

Nebennieren Krankheiten Wie Hormonstorungen Und Tumoren

Nebennierenrindentumore ǀ Ukd

Nebennierenrindentumore ǀ Ukd

1

1

Https Www Klinikumstadtsoest De Downloads Nebennierenchirurgie Pdf

Https Www Klinikumstadtsoest De Downloads Nebennierenchirurgie Pdf

Cushing Syndrom Deximed

Cushing Syndrom Deximed

Nebennierentumor Bluthochdruck Nebenniere Tumor Bluthochdruck Hilfe

Nebennierentumor Bluthochdruck Nebenniere Tumor Bluthochdruck Hilfe

Inzidentalom Nebennierentumor Kantonsspital Winterthur Ksw

Inzidentalom Nebennierentumor Kantonsspital Winterthur Ksw

Neues Von Der Nebenniere Universitat Wurzburg

Neues Von Der Nebenniere Universitat Wurzburg

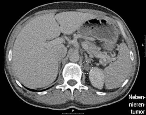
Nebennieren Tumor Rechts Ct Doccheck

Nebennieren Tumor Rechts Ct Doccheck

Glandula Online Ein Umdenken Bei Nebennierenerkrankungen Conn Oder Cushing Manchmal Sogar Connshing

Glandula Online Ein Umdenken Bei Nebennierenerkrankungen Conn Oder Cushing Manchmal Sogar Connshing

Erste Europaische Leitlinie Zum Nebennieren Inzidentalom

Erste Europaische Leitlinie Zum Nebennieren Inzidentalom

Bluthochdruck Durch Operation Heilen Universitat Wurzburg

Bluthochdruck Durch Operation Heilen Universitat Wurzburg

Steckt Hinter Dem Zufallsbefund An Der Nebenniere Ein Karzinom Springerlink

Steckt Hinter Dem Zufallsbefund An Der Nebenniere Ein Karzinom Springerlink

Nebenniere ǀ Ukd

Nebenniere ǀ Ukd

Blutwerte Der Nebennieren

Blutwerte Der Nebennieren

Nebennierentumore Diagnose Operation Was Beachten Jameda

Nebennierentumore Diagnose Operation Was Beachten Jameda

Https Www Ukr De Imperia Md Content Kliniken Institute Roentgendiagnostik Fortbildung Rif Rif 15 03 Zorger Nn Ct Mrt Pdf

Https Www Ukr De Imperia Md Content Kliniken Institute Roentgendiagnostik Fortbildung Rif Rif 15 03 Zorger Nn Ct Mrt Pdf

Nebennierentumore

Nebennierentumore

Nebenniere Wikipedia

Nebenniere Wikipedia

Tumor In Der Nebenniere Wie Viel Diagnostik Ist Notwendig Medical Tribune

Tumor In Der Nebenniere Wie Viel Diagnostik Ist Notwendig Medical Tribune

Nebennierentumore Therapie Gesundheitsportal

Nebennierentumore Therapie Gesundheitsportal

Nebennierentumore

Nebennierentumore

Nebennierenrindenkarzinom Adrenokortikales Karzinom Der Nebenniere

Nebennierenrindenkarzinom Adrenokortikales Karzinom Der Nebenniere

Bayerisches Arzteblatt

Bayerisches Arzteblatt

Phaochromozytom Diagnostik Und Therapie

Phaochromozytom Diagnostik Und Therapie

Cancer Nos Rins Lucas Burttet

Cancer Nos Rins Lucas Burttet

Https Www Uniklinikum Dresden De De Forschung Lehre Und Bildung Kfo 252 Information Links Nebenniere Pdf

Https Www Uniklinikum Dresden De De Forschung Lehre Und Bildung Kfo 252 Information Links Nebenniere Pdf

1

1

Dieser bösartige Tumor ist überwiegend hormoninaktiv kann aber auch hormonaktiv sein und somit sämtliche mit einer Hormonüberproduktion einhergehenden Symptome auslösen.

10-20 der Menschen weisen Adenome der Nebennieren auf die heutzutage zunehmend häufig als Zufallsbefund entdeckt werden. Bösatige Nebennierenrindentumore werden auch als Nebennierenkarzinome bezeichnet und sind ebenso wie der bösartige Nebennierenmarkstumor das Paragangliom oder das Phäochromozytom mit einem Anteil von 8-20 eher selten. In den Nebennieren kleinen Hormon-produzierenden Drüsen die direkt an den Nieren anliegen aber an deren Funktion völlig unbeteiligt sind können Tumore. Die Häufigkeit von Krebs der Nebenniere beträgt 06-167 pro 10 6 Personen pro Jahr. Sie gehören zu den Hormondrüsen des Körpers und produzieren mehrere lebenswichtige Hormone. Ich denke man sollte ihn im Verlauf kontrollieren und nur bei entsprechender Wachstumstendenz operativ angehen. Tumore der Nebenniere Epidemiologie. Von einem inzidentellen adrenergen Tumor spricht man immer dann wenn er rein zufällig in der Bildgebung auffiel die nicht aufgrund einer möglichen Nebennierenerkrankung durchgeführt wurde. Auoorat Liegt ein Nebennierenrindentumor vor entstehen die typischen Symptome eines Hyperadrenokortizismus Morbus Cushing.


Auoorat Liegt ein Nebennierenrindentumor vor entstehen die typischen Symptome eines Hyperadrenokortizismus Morbus Cushing. Bösatige Nebennierenrindentumore werden auch als Nebennierenkarzinome bezeichnet und sind ebenso wie der bösartige Nebennierenmarkstumor das Paragangliom oder das Phäochromozytom mit einem Anteil von 8-20 eher selten. Adrenal Tumors in sporadischen getrennt und im Zusammenhang mit erblichen Syndromen. Hyperaldosteronismus Conn-Syndrom Vermehrte Glukokortikoidbildung Morbus Cushing in Folge vermehrter Ausschüttung des Nebennierenrinden-stimulierenden-Hormons ACTH. Der Großteil dieser Nebennierenveränderungen ist klein gutartig und NICHT krankmachend. In der Allgemeinbevölkerung liegt die Rate in Autopsie- und radiologischen Studien um die 24 bei älteren Menschen kann sie auf 10 ansteigen. Tumore der Nebenniere Die beiden Nebennieren Glandulae suprarenales liegen jeweils am oberen Pol der beiden Nieren.

Post a Comment for "Tumor An Der Nebenniere"